
안녕하세요, 20여년 간 검사로 근무하다가 작년 말부터 법무법인 동인에서 구성원으로 근무하고 있는 장형수 변호사 입니다.
이비인후과를 운영하는 친구의 부탁으로 다소 낯선 곳에 이렇게 처음 인사드리게 되었는데 새로운 분야의 시선을 반갑게 맞아주시면 감사하겠습니다.
최근 엄청난 무더위가 계속되고 있고, 서울은 현재까지 22일 연속 열대야가 이어지며 폭염이 기승을 부리고 있습니다. 그런데 한반도 뿐만 아니라 전 지구를 뒤덮고 있는 ‘이상 상황’은 비단 기후 문제만이 아닙니다.
1년 전 아무런 이유 없이 다른 사람이 자신을 스토킹한다는 망상에 빠진 상태로 사람을 무차별적으로 살해한 분당 백화점 앞 흉기난동 사건이 사회에 큰 충격을 주었습니다. 최근에는 숭례문 인근 지하보도를 청소하던 환경미화원이 70대 남성이 휘두른 흉기에 찔려 사망하는가 하면 아파트 앞에서 30대 남성이 친분도 없던 이웃 주민을 일본도로 살해하고서는 자신이 중국 ‘스파이’라거나 한반도 전쟁을 일으키려 한다는 등 횡설수설하였다고도 합니다.
이처럼 동기가 명확하지 않거나 충동적으로 저지른 정신장애자의 ‘이상 동기’ 범죄가 갈수록 증가하고 있습니다.
대검찰청에서 발행한 ‘2021 범죄분석’에서는 정신장애범죄자를 범행 당시 정신이상(정신분열병자), 정신박약(의사가 박약하거나 불안정한 백치·저능자), 기타 정신장애(조울병자, 성격이상자)가 있는 피의자를 의미한다고 정의합니다.
또한 2021 범죄백서(법무연수원)에 따르면, 정신장애범죄자 인원은 2018년 7,304명을 기록하였고 2019년에는 7,818명으로 전년 대비 7% 증가, 2020년에는 전년 대비 15.9% 증가한 9,058명을 기록하여 정신장애 범죄가 눈에 띄게 증가하고 있습니다.
우리는 정신장애자들을 마음이 아픈 사람들이라고 하기도 하고, 마음의 병을 앓고 있는 사람들이라고 인식하기도 합니다. 과연 그럴까요?
신경과학과 뇌과학의 발전에 따라 뇌의 손상 또는 기능장애가 인간의 행동에 미치는 영향에 대한 연구가 계속 진행되어 왔고, 뇌 특정 부분의 손상이 사람의 의식과 행동의 변화와 밀접한 연관성이 있는 것으로 드러나고 있습니다.
정신이상자들의 이상 행위가 마음의 문제가 아니고, 뇌의 손상이나 기능장애가 뇌의 변화된 형상을 수반하며, 뇌 특정 영역의 기능장애가 인간의 사고와 행동에 변화를 가져올 수 있다는 것입니다.
제가 아직 검사로 재직하던 작년 3월경 서울대학교 자연과학대학에서 진행하는 과학기술 산업융합 최고전략과정(SPARC)을 6개월간 수강하며 저명하신 과학자, 교수님들의 명강의와 이어지는 토론에 참여할 기회가 있었습니다.
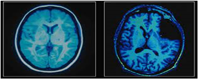
그 중 뇌과학자님의 강의를 흥미있게 들었는데 당시 아래와 같이 알츠하이머 치매 환자와 일반 정상인의 뇌를 촬영한 자기공명영상(MRI) 및 양전자 방출 단층 촬영(PET) 사진이 제 눈길을 끌었습니다.
<치매환자의 뇌와 일반 정상인의 뇌 비교 촬영 사진>
전문가가 아닌 사람이 보더라도 치매 환자의 뇌가 훨씬 위축되어 있고, 뇌실이 팽창되어 있는 사실을 바로 확인할 수 있었고, 강의 내용과는 무관하였지만, 이 사진을 본 후 관련 서적, 논문, 판례들을 찾아보면서 정신이상 범죄자들의 처벌에 대해 여러 가지 생각을 하게 되었습니다.
근대 형사법은 ‘책임 없으면 형벌 없다’는 책임주의가 확고한 원칙으로 확립되어 있습니다. 책임이란 위법한 행위에 대하여 행위자를 개인적으로 비난할 수 있느냐의 문제를 말하는 것이고, 이러한 의미에서 책임주의 원칙은 인간의 결정의 자유를 논리적 전제로 하게 됩니다. 달리 행위할 능력이 있는 때에만 범죄의 충동을 억제하지 않고 위법한 행위를 한 것에 대해 행위자를 비난할 수 있기 때문입니다.
따라서 행위자에게 법규범을 인식하고 이에 따라 행위할 수 있는 능력, 즉 책임능력이 없을 때에는 책임도 없다고 하지 않을 수 없고, 위법한 행위에 대해 처벌도 할 수 없게 되는 것입니다.
그렇다면 육안으로도 구별되는 뇌 조직 및 구조의 변화에도 불구하고 치매 환자의 행위를 정상인의 행위와 동일한 윤리적·규범적 기준으로 평가하는 것이 타당한 것인가. 나아가 병이나 부상으로 인한 뇌 손상 등의 변화가 사람의 의식, 행동과 밀접하게 연결이 되어 있다면 이러한 변화는 우리의 정체성과 성격과 행동을 바꿔놓게 되는 것일까? 이러한 뇌의 손상으로 나타나는 의식과 행동이 개인의 자유의지와 판단의 결과라고 할 수 있을지, 그렇지 않다면 그 행동의 결과에 대해 개인에게 책임을 물을 수 있는 것일까?
이처럼 뇌과학, 뇌 손상에 대한 연구의 발전은 그간 당연한 것처럼 받아들여졌던 형사법의 책임이론에 대해 심도 깊은 의문을 제기합니다.
무차별적으로 총기를 난사한 살인범, 건물에 불을 질러 수많은 사람들을 사망하게 한 방화범, 칼을 들고 배회하다가 우연히 만난 행인을 찌른 ‘묻지마 살인’, 사람을 죽이고도 태연하게 일상생활을 하는 연쇄살인 사이코패스... 이러한 잔혹한 범죄자들이 사실은 뇌의 손상이나 기능장애로 인해 자신도 제어하지 못하는 범행을 저지른 것이라면 이들을 처벌하는 것이 타당한지에 대한 문제입니다.
미국에서 발생한 Herbert Weinstein 아내 살해 사건은 범죄자의 뇌영상 자료가 법원에서 증거로 채택된 최초의 사례로 알려져 있습니다.
1992년 뉴욕에서 60대의 은퇴한 남성인 Weinstein이 아내와 말다툼을 하다가 아내를 목졸라 살해하고, 범행을 감추기 위해 시체를 12층 아파트 창 밖으로 떨어뜨려 자살로 위장한 사건이 발생하였습니다.
Weinstein은 경찰에 체포되어 혐의를 자백하고 재판을 받으면서도 놀랍도록 침착하고 평소처럼 낙관적이며 친구를 대하는 태도도 전과 다름이 없었다고 합니다. 이웃들과 그를 아는 대부분의 사람들은 그가 차분하고 이성적인 사람이며 심지어 아내와 부부싸움도 거의 없었을 정도로 사이가 좋았다고 진술하였습니다.
Weinstein이 2급 살인(모살, 계획적이진 않지만 의도된 살인)으로 기소되자 그의 변호인은 그의 뇌영상 자료를 법원에 제출하면서 정신질환으로 인한 책임무능력을 이유로 무죄를 주장하게 됩니다.
<정상인의 뇌(좌측)와 Weinstein의 뇌(우측) 비교 촬영 사진>
위 영상 자료 왼쪽이 일반 정상인의 뇌를 촬영한 것이고 오른쪽이 당시 제출된 Weinstein의 뇌 영상 자료인데, 뇌 자기공명 영상(MRI) 및 양전자 단층촬영(PET) 결과 그의 좌측 전두엽에 사진처럼 오렌지 크기만한 지주막 낭종이 발견되었고, 낭종이 있는 부위의 포도당 대사 수준이 저하되어 있어 범행 당시 Weinstein이 ‘전두엽 기능장애’ 상태에 있었다는 것입니다. 이와 같은 변호인의 무죄 주장은 특정 순간에 저지른 특정 행위와 뇌손상을 연결 짓는 최초의 시도였습니다.
법원에서 Weinstein의 책임무능력을 인정하지는 않았으나, 위와 같은 뇌 손상 주장이 일부 받아들여져 애초 기소된 2급 살인인 모살보다 형이 낮은 고살(계획과 의도가 없는 우발적 범죄)의 부정기형(단기 7년, 장기 21년)이 선고되었습니다.
여러 연구조사에서 일탈 행동과 반사회적 행동이 뇌 손상, 특히 전두엽의 손상과 관련이 있다고 드러나긴 하였으나, Weinstein 사건은 일시적 정신이상을 설명하고 궁극적으로 형사 책임을 면하기 위해 범죄자의 뇌 손상을 주장한 첫 사례로 기록되었고, 이후 미국에서 수많은 사건의 피고인들이 형의 면책 내지 감형을 목적으로 뇌 손상으로 인한 정신이상 항변을 주장하게 되는 계기가 되었습니다.
그러나 뇌과학의 발전으로 특정한 뇌 부위의 손상과 그로 인한 평소의 비정상적인 행동 변화를 설명할 수 있다고 하더라도, ‘범행 당시’ 행한 행위가 그러한 뇌 기능장애로 인한 것임이 입증되어야 하는 어려운 문제가 여전히 남아 있습니다.
또한 정신장애자범죄는 살인 등 강력 범죄 비율이 높아 범죄 피해자 및 유족은 회복 불가능한 피해를 입게 되고, 사회 구성원들은 예측할 수 없는 범죄에 노출된다는 불안감을 가지게 됩니다.
따라서 뇌 손상 등 정신장애의 인정과 범죄 책임능력의 판단은 엄격히 구분되어야 하고, 더구나 돌이킬 수 없는 피해를 입게 된 피해자 및 유족들과 재범 위험성을 생각한다면 형사책임을 면제하는 심신상실 판정은 엄격히 제한된 범위에서 이루어져야 하고 신중해야 합니다.
실제 대부분의 사례에서 정신이상자의 ‘이상 동기’ 범죄는 대부분 형사처벌의 대상이 되는 것이 현실이고, 저 역시 검사 시절에 이와 같은 사건에 대해 엄한 처벌을 내려왔고, 변호사가 된 지금에도 ‘마음이 아픈’ 사람들이 저지른 중대한 범죄에 대해 책임능력이 없다는 무죄 주장을 하는 것에는 주저하게 됩니다.
그럼에도 뇌과학의 발전은 우리의 형사 사법체계에 대해 꾸준히 의문을 던질 것입니다. ‘우리 사회의 법질서, 사회계약을 어기는 사람은 사회 전체의 안전을 위해 퇴출시킬 필요는 있다. 그렇다고 스스로 제어할 수 없는 상태에서 범죄를 저지른 사람을 처벌하는 것이 맞는가’ 하는 책임이론과 관련된 근원적인 문제제기입니다.
따라서 현재의 윤리적·규범적 기준에 충실하되, 뇌과학의 발전에 따른 다양한 연구 사례를 주시하고, 뇌의 손상과 그로 인한 변화를 비롯한 복합적인 요인들이 범죄행위에 미친 영향에 대해 전문가의 의견을 존중하는 겸손하고 열린 자세가 요구된다고 생각합니다.
먼 미래 내지 가까운 미래에 뇌 손상과 범죄행위의 연관성이 규명된다면, 그리고 보다 나은 대안들이 기술적으로 다양하게 마련되고 사회적으로 용인된다면, 미래 세대는 과거의 우리를 돌아보며 이렇게 물을지도 모릅니다.
이 사람들은 도대체 어떻게 이럴 수 있었을까? 정신적 질병을 앓는 이들에게 어떻게 그토록 끔찍한 짓을 계획적으로 저지른 거지? 그저 아픈 사람들이었을 뿐인데 감옥에 보낸 것으로도 모자라 처형까지 했잖아!
- 후안 엔리케스(미국 하버드대 교수)의 저서, ‘무엇이 옳은가’ 中
뇌과학자와 의학자들의 연구 발전으로, 진정 사람들의 ‘마음을 치유’ 할 수 있기를, 자신들의 행동이 어떤 결과를 가져올 수 있는지에 대한 선택을 할 수 없는 사람들의 뇌구조와 그 행동의 연관성이 더 명확히 밝혀지기를 바라고 기대합니다.