Skip Navigation
Skip to contents

W-ENTian August 2025

이비인후과 개원의 AI X-ray 판독 시스템 사용기 두리이비인후과 정명호

정명호

이비인후과 개원의로서 진료하다 보면 부비동염, 난청, 어지럼증 등 이비인후과 전문의의 역할이 필요한 질환들도 있지만 시즌에 따라서는 감기 같은 일반적인 상기도 감염이나 다양한 바이러스나 세균감염 또는 비감염성 질환으로 인한 급성 또는 만성 기침을 주 증상으로 내원하는 환자가 많은 경우도 있다. 이런 경우 Chest PA & Lat 검사가 많은 정보를 주는 경우가 많은데 정확한 판독의 어려움이 있고 질환의 진단을 놓칠 수 있는 위험성 때문에 흉부 방사선 검사나 판독을 내과, 소아청소년과 등으로 의뢰하는 경우가 많은 것으로 알고 있다.
그런데 최근 인공지능 기술의 비약적인 발전으로 인해 다양한 의료 분야에 인공지능 기술의 활용도가 증가하고 있으며 그중에서도 방사선 검사나 초음파 검사 등의 진단방사선 검사의 판독에는 이미 광범위하게 활용되고 있으며 실제 우리나라에서도 이미 루닛, 뷰노 등의 스타트업 기업들이 인공지능 방사선 판독 시스템을 구독 프로그램으로 서비스하고 있고 실제 진료에서 사용하는 클리닉도 늘어나는 추세이다.

인공지능 기반 영상 판독(AI-assisted Medical Imaging Analysis) 기술은 딥러닝(Deep Learning) 및 컴퓨터 비전 기술을 활용하여 X-ray, CT, MRI, 초음파 등 의료 영상을 분석하고 판독을 보조하는 기술로 주된 기술 및 원리는 딥러닝 기반 이미지 인식으로 Convolutional Neural Network (CNN) 등 딥러닝 모델이 의료 영상을 학습하여 병변을 탐지하여 비정상 조직(종양, 염증, 출혈 등)과 정상 조직을 구별하여 특정 부위의 이상 징후(암, 폐질환, 골절 등)를 자동으로 검출하여 의료진이 판독할 때 참고 자료로 활용되며 병의원에서는 PACS (Picture Archiving and Communication System)와 연결해 병원 시스템에서 AI 판독 결과를 실시간 제공받게 된다.
현재까지 주요 활용 분야는 흉부 X-ray 및 CT 분석으로 폐암, 폐결핵, 폐렴, COVID-19 등 감염성 질환 탐지하며 국내 대표 AI 솔루션은 Lunit INSIGHT CXR (루닛), Qure.ai, VUNO Med Chest X-ray (뷰노)등이 있다. 이 외에도 내시경 및 이비인후과 영상 분석을 통해 후두암, 구강암, 부비동염 등의 이비인후과 영상 판독이 가능하다.

2024년 8월 발간된 의협신문에 실린 기사를 보면 보라매병원 이현우(호흡기내과)·진광남(영상의학과) 교수팀은 흉부 방사선 사진 판독 시 인공지능(AI) 보조 진단의 도움을 받으면 정확도를 최대 23% 높일 수 있다고 보도했는데 2020년 10월부터 2021년 5월까지 국내 3개 의료기관 외래를 방문한 환자 329명을 대상으로 AI 기반 보조 진단 솔루션의 도움을 받은 그룹과 받지 않는 그룹으로 무작위 배정한 뒤 진단 정확도를 비교한 결과, AI 보조 진단의 도움을 받은 그룹의 흉부 방사선 사진 판독 정확도는 84.0%로, 도움을 받지 않은 그룹(71.8%)에 비해 유의미하게 높았고(P=0.017) 폐 병변 감지 민감도는 AI 그룹이 87%로, 도움을 받지 않은 그룹(64%)에 비해 23% 더 높았다(P=0.004). 폐 병변 감지 음성 예측도는 AI 그룹이 92%로, 도움을 받지 않은 그룹(75%)에 비해 17% 높았다(P=0.003)고 발표했다.

개인적으로도 4~5년 전까지는 실제 chest 촬영할 수 있는 장비를 갖추고 수술 전 검사나 만성 기침 환자를 대상으로 촬영하였으며 일차로 직접 판독을 하고 2차로 근처 내과 소속의 방사선과 선생님에게 confirm을 받는 형태로 운영을 해오다 여러 이유로 운영을 중단하였는데 그 중 판독 오류에 대한 두려움이 가장 컸었다. 그러다 최근 방사선 노출을 많이 줄인 디지털 기술을 활용한 흉부 촬영 장비가 출시되어 흉부 검사의 진입장벽이 크게 낮아지면서 주변 많은 동료가 이미 장비 도입을 했거나 고민 중이라 들었고, 흉부 방사선 검사의 가장 큰 부담인 판독을 인공지능 프로그램의 도움을 받을 수 있게 되면서, 근무 중인 의원에도 흉부 촬영 장비를 다시 설치하고 국내 인공지능 판독 서비스 중 한 곳과 계약을 맺고 진료에 활용을 해보았다. 결론부터 말하면 실제 수개월간 사용해본 결과 개인적으로는 매우 만족스럽고 주변 동료들에게도 기회가 되면 추천하고 있다.

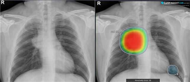
우선 실제 진료한 몇 개의 사례를 설명하고자 한다 아래 사진은 개원 후배의 진료 사례이며 촬영 후 인공지능 판독 소견에서 림프종 의심 소견이 나와 바로 상급 병원으로 의뢰하였으며 조기에 중증 질환을 발견하여 환자에게 감사 인사를 받은 사례이다.

두 번째 사례는 기존 천식으로 렐바 사용 중인 30대 여성 환자로 하루 전부터 38도 이상의 고열과 심한 호흡 곤란 증상으로 내원하였다. 폐렴 의심하에 검사 시행하였으며 인공지능 판독 소견에서 양측 폐 lower lobe의 condolidation 소견이 강하게 의심되어 폐렴 진단하에 입원 치료 위해 전원한 case이다.

이후에도 많은 증례를 경험하면서 질병의 진단과 치료에 많은 도움을 받고 새삼 인공지능 기술의 발달에 놀라고 있으며 동시에 한 명의 의사라는 직업인으로서 위기감도 느끼고 있다.
최근까지 소아에서 백일해, 마이코플라스마 등 바이러스성 상기도 감염이 유행하면서 비강을 통한 PCR 검사의 필요성이 커지고 있으나 흉부 방사선 검사가 동반되어야 보험 적용이 가능한 경우가 많아 장비 도입 여부를 고민하고 있는 의원들이 적지 않다고 알고 있는데 긍정적으로 고려해 봐도 좋을듯하다.

이상 수개월간의 사용 후 느낀 개인적인 AI 영상 판독의 장점으로는 진단 정확도 향상, 진료와 진단 속도 개선을 들 수 있으며 실제 숙련된 방사선 전문의가 부족한 문제를 해결하기 위해 AI 기반 솔루션 도입이 도움이 될 듯하며 방사선 전문의가 부족한 지역에서도 AI를 활용해 판독 보조 가능하다는 점도 큰 장점이 될 듯하다. 다만 아직은 AI는 진단 및 진료에 있어 보조 도구로 활용되어야 하며, 완전한 자율 판독은 불가하므로 최종 판단은 의료진이 책임지고 판단해야 한다. 혹시나 있을 오진 시 책임 소재가 불분명하여 유발될 수 있는 법적, 윤리적 문제 등은 AI 영상 판독의 한계 및 과제라 할 수 있겠다.

결국 AI 영상 판독 기술은 아직은 의료진을 보조하는 역할이며 진단 정확도 향상, 판독 속도 개선, 의료 접근성 확대 등의 이점을 의료인에게 제공하지만, AI 단독 진단으로는 한계가 있으며 다만 하루가 다르게 발전하는 기술의 발달 속도를 고려해 볼 때 향후 AI 기술이 다양한 진료 분야에 활용될 날이 머지않았다고 생각한다.

댓글쓰기
(04385) 서울특별시 용산구 서빙고로 67, 파크타워 103동 307호 (용산동5가 24)

Copyright © by Korean Society of Otorhinolaryngology-Head and Neck Surgery. All rights reserved.